Home
Map
Browse Map
Explore away
Explore Map Collection
Check out our basemaps
Print a Map
Plus
Generate a high-quality PDF
Field Guide
Field Guide
Discover local flora, fauna, geology, and more
Local Flora & Fauna
Learn the ecology of your area
Local Geology
Learn the geologic formation at your feet
Get Started
or
Sign In
Welcome
Sign up to start exploring the one-of-a-kind Natural Atlas Topo map
Continue with Apple
Or
Sign up with Email
Already have an account?
Sign In
MAP
Topo
Waterfalls
Rock Formations
Campgrounds
Trails
Boat Launches
National Parks
State Parks
Scenic Spots
Measure
You must upgrade to measure routes
Start Free Trial
0 ft
Max
0 ft
Copyright
© Natural Atlas
| Roads, Buildings
© OSM Contributors
|
Data Sources
Topo
Ecoregions
Public Lands
...
BASEMAPS
Default Weather
Temperature
Smoke
...
WEATHER
View All Photos
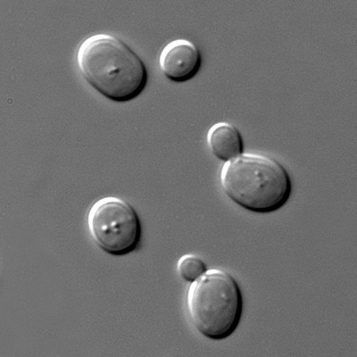
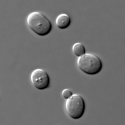
Saccharomycetaceae
family
On the Web
On Wikipedia
The Saccharomycetaceae are a family of yeasts in the order Saccharomycetales that reproduce by budding. Species in the family have a cosmopolitan distribution, and are present in a wide variety of habitats, especially those with a plentiful supply of carbohydrate sources. The family contains the species Saccharomyces cerevisiae, perhaps the most economically important fungus.
Read More on Wikipedia
Your Checklist
You have noted
0
Saccharomycetaceae
Learn How to Take A Field Note
Range Map
Range Maps show
field notes recorded by Natural Atlas contributors
and other datasets via
GBIF.org
Your Notes
Join Natural Atlas to keep track of the
what
you see on your outings.
Join Natural Atlas
Already have an account?
Sign In
Top Observers
Search
Search the outdoors
Map
Plans
Field Guide
Community
My Profile
My Trips
0
My Field Notes
0
Notifications
More